| Главная страница | | Карта сайта | Контакты |    
 
Салоны красоты

Ваш личный массажист

Ваш личный парикмахер
 
 
Здоровье: статьи
| << к списку статей |


 

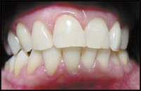
Лазерное шоу. Что нового в стоматологии?

Лазерное шоу. Что нового в стоматологии? Применение лазерных технологий в кабинете дантиста позволяет сделать лечение зубов безболезненным, а улыбку – безупречной.

Без шума.
Пожалуй, одна из самых популярных процедур в – лечение зуба без сверления. Особенно приятен этот способ для тех пациентов, которых один звук бормашины повергает в панику. Благодаря лазеру стало возможно обработать зуб без вибрации и боли, при этом максимально бережно, ведь лазер берется только за кариозную ткань, не повреждая здоровую. Кроме того, прибор стерилизует поверхность зуба, не оставляя лазейки для бактерий, образующих кариес.

Без ущерба.
– самый гуманный способ создания белоснежной улыбки. Исследования, проведенные в различных университетах мира, доказали, что после лазерного воздействия происходит укрепление эмали за счет уплотнения структуры – ее микротвердость увеличивается до 37%. А белоснежный цвет можно получить, даже если зубы имели желтый оттенок от рождения.

Лазерное шоу. Что нового в стоматологии? Без крови.
Раньше для применяли кюретаж – выскабливание пародонтальных карманов, после которого пациенты жаловались на боль и отеки, да и зачастую результат от процедуры был весьма сомнителен – десны могли опускаться еще ниже, а зубы оставались подвижными. Сегодня на смену этой кровавой операции пришла эффективная комфортная лазерная обработка десен и с применением особого лазера и водорослей. Уже после первого сеанса устраняется кровоточивость десен, неприятный запах изо рта. А спустя несколько процедур закрываются даже очень глубокие карманы, оздоравливаются пародонтальные ткани, укрепляются зубы. Благодаря стерилизующему действию лазера стало возможно восстанавливать даже сильно разрушенные зубы, .

Без отторжений.
За счет своих замечательных свойств (обезболивающий, бактерицидный и кровоостанавливающий эффект, стимуляция регенерации и заживления) применение лазеров позволило сделать операцию по более комфортной и добиться наивысшего процента приживления.

Без потерь.
Теперь для того, чтобы вместо отсутствующего зуба поставить новый, совсем не обязательно обтачивать 2 соседних. Лазерное шоу. Что нового в стоматологии? Благодаря сверхточным микрозамкам, которые просто приклеиваются к зубам и фиксируют коронку отсутствующего зуба, нет необходимости ставить мост. А изготовленные методом лазерного сканирования коронки отличаются сверхточностью, красивы, удобны и долговечны.

Без неудобств.
Не обошли лазеры и такую сложную сферу стоматологии как . Система позволяет снять слепок с зубов пациента, сканировать его лазером и получить точную компьютерную трехмерную модель челюстей и прикуса. Затем, учитывая все особенности формы лица и улыбки у пациента, выстраивается идеальная компьютерная модель прикуса и расположения зубов. Еще до начала лечения пациент может увидеть результат, и если он его устраивает, ортодонт изготавливает по модели тонкие прозрачные каппы – лайнеры. Они совершенно не заметны на зубах, к тому же на время еды или чистки их можно снять. Исправление прикуса происходит за 5-12 месяцев - 2 раза быстрее, чем с помощью традиционных брекетов.

Лазерное шоу. Что нового в стоматологии? Без сожалений.
Без лазера не обойтись, если пациент хочет иметь безупречный фасад – . Суть технологии в том, что после точного лазерного сканирования по предварительно изготовленным слепкам и моделям делают тончайшие (от 0,2 мм) фарфоровые пластинки, которые затем приклеиваются с помощью фторсодержащего цемента на собственные зубы. Они позволяют изменить форму, цвет, размер зубов, закрыть щели между ними. Причем срок службы таких виниров около 20 лет. На них не оседает налет, они не темнеют с годами, так как сделаны из сверхпрочного фарфора. Но если вы захотите вернуться к своей собственной природной улыбке, это не составит особого труда, так как эмаль под винирами не обтачивается и не стирается.

Настраивая волны
Для различных процедур существуют особые типы лазеров - СО2, диодные, эрбиевые, полупроводниковые… Каждый из них отличается мощностью и различным типом взаимодействия с тканями, но всех их объединяет общее свойство – они работают в физиологическом для человека инфракрасном спектре и не наносят нам никакого вреда.

10.05.07

Конкурс салонов красоты:
Конкурс специалистов индустрии красоты.
"Здорово и Красиво"

Участники:
- салоны красоты
- фитнес-клубы
- медицинские оздоровительные центры
- СПА-центры и т.д.

Жюри:
Звезды эстрады, кино, театра и телевидения, а также известные деятели индустрии Красоты и Здоровья.

Место проведения:
- салоны красоты
- Концертный зал "Радиус холл"

Организаторами Конкурса является ООО "Компания ВИП" и голландская компания KEUNE.

Итоги конкурса специалистов индустрии красоты "Здорово и Красиво"
Copyright © 2004 Nensi.ru
Крупнейший каталог сайтов на HotINDEX.RU от ADStudio.RU