| Главная страница | | Карта сайта | Контакты |    
 
Салоны красоты

Ваш личный массажист

Ваш личный парикмахер
 
 
Здоровье: статьи
| << к списку статей |


 

Улыбка на миллион!!!

Идеальная белозубая улыбка стала сегодня непременным атрибутом успеха и наглядным символом молодости, здоровья и красоты. Благодаря возможностям современной эстетической стоматологии любой человек отныне способен выглядеть на миллион долларов, причем за гораздо меньшую сумму.

Улыбка потенциального миллионера обязана быть идеально ровной, белоснежной и сияющей. У вас она не такая? Не беда – теперь это легко поправимо. Но обо всем по порядку.

Равняйсь, смирно!
Если зубы во рту стоят кривовато, одни выше, другие ниже, а между ними зияют щели, вовсе не обязательно заковывать уродцев в «брекеты» и месяцами ждать, пока они выстроятся в один ряд. Благодаря голливудским винирам (тонким, шириной всего в 0,2мм облицовочным пластинам, прикрепляемым к фронтальной стороне зубов) стать обладателем поистине звездной улыбки можно всего за 2 визита (1 визит для снятия слепков, 2 визит установка виниров).

Улыбка на миллион При постановке голливудских «обманок» пациенту не грозят ни обезболивающие уколы, ни встреча с бормашиной. Новые зубы устанавливаются без шума и пыли – они просто приклеиваются на эмаль, тогда как для постановки стандартных виниров зубы приходится обтачивать, снимая до 0,5мм верхнего слоя. Голливудские «зубки» изготавливаются по уникальной технологии из сверхпрочного фарфора, твердость которого усилена специальными кристаллами. За счет высокой прочности материала срок службы голливудских виниров составляет как минимум 20 лет, что в два раза больше, чем у традиционных зубных пластин, которые могут трескаться и отклеиваться. Изящный фарфоровый «фасад» приклеивают к зубам с помощью особо крепкого и нерастворимого в слюне цемента, который к тому же содержит ударную дозу полезного для эмали фтора. Улучшенная голливудской технологией улыбка прослужит своему хозяину всю жизнь, но даже если вдруг захочется вернуться к естественному виду своих зубов, стоматолог с помощью специального инструмента может легко снять тонкие фарфоровые накладки, без малейшего ущерба для зубов.

Голливудские виниры позволяют замаскировать не только неровности зубного ряда, но и другие дефекты: эрозию эмали, скол зуба, заметную пломбу, потемнение эмали (что бывает в результате приема тетрациклиновых препаратов). Но при наличии залеченных зубов врач обязательно проверяет, насколько хорошо сделана пломба, потому, что если под дефектной пломбой начнет развиваться кариес, винир придется снимать, а при этом его можно повредить.

могут быть приклеены не только к живому зубу, но и к любой другой поверхности: фарфоровой или золотой коронке, пластмассовому или металлическому зубному протезу, а также непосредственно к дентину (ткани, которая находится под зубной эмалью). Благодаря этому отпадает необходимость в замене старых зубных протезов – всего-то и надо, что наклеить новый сияющий винир на старую коронку.

Светить всегда!
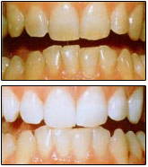
Но даже идеально ровные зубы не станут украшением лица, если они цветом не вышли. В моде сегодня ослепительная жемчужная белизна! Поэтому отбеливание зубов – одна из самых популярных услуг. Кстати, немногим известно, что для того, чтобы улыбка выглядела белоснежной, подчас достаточно отбелить не весь рот, а всего лишь десять передних зубов.

Улыбка на миллион Преобразить зубную эмаль можно химическим способом или с помощью фотоотбеливания. Правда стоит отметить что, недостатком этих систем является их низкая эффективность в отношении некоторых групп зубов (тетрациклиновые зубы, желтые зубы и т.д.).

Новейшая система отбеливания - ультразвуковая. Благодаря ей отбелить зубы на 6-10 тонов можно всего за 12 минут. Благодаря деликатности этой процедуры ее можно проводить даже у пациентов с очень чувствительной эмалью. Все происходит так: гель на водной основе наносится на зубы, а затем ультразвук определенной частоты стимулирует выделение из него кислорода, который мягко осветляет эмаль. Зубы приобретают сияющий белый цвет, даже если от природы они были желтые. Никаких неприятных ощущений ни до, ни во время, ни после процедуры не бывает. На сегодняшний день это один из самых гуманных и безопасных способов обретения белоснежной улыбки.

Но наиболее быстро, эффективно и безопасно отбеливает зубы любого цвета только лазер. Эффект достигается как за счет воздействия на эмаль перекиси, так и благодаря способности самого лазера расщеплять пигменты. Клиническими исследованиями доказано, что лазерное отбеливание не только не повреждает эмаль, но даже способствует увеличению ее прочности (микротвердость, по WIKERS увеличивается на 37%). Суть процедуры такова. На зубы наносится гель, содержащий уникальный пигмент тропического фрукта, который накапливает в себе энергию лазерного света - за счет этого усиливается и ускоряется распад геля на отбеливающие компоненты. Благодаря низкому молекулярному весу ионы особенно глубоко проникают в зубную эмаль и дают максимальный отбеливающий эффект. Использование сразу двух лазеров: диодного и инфракрасного обеспечивает более быстрый результат (по сравнению с другими методами отбеливания). Общее время процедуры - 15 - 35 минут.

Осветленная этими методами зубная эмаль никогда не вернется к своему исходному цвету, но со временем белизна может потускнеть из-за пищевых красителей, зубного камня, табака и т. д. Поэтому неплохо пару раз в год проводить профессиональную чистку зубов, которая поможет не только вернуть зубам сияющий белый цвет, но и предотвратить риск развития кариеса, гингивита и пародонтита. Чистка производится механическим и ультразвуковым способом.

Любой способ осветления эмали противопоказан беременным, кормящим, несовершеннолетним, а также страдающим аллергией на перекисные соединения и латекс. Большинство видов отбеливания не проводят при незалеченном кариесе, пульпите, пародонтите, плохом состоянии эмали (трещинах, участках повышенной чувствительности, обнажении дентина). И, конечно, нельзя забывать о том, что осветлению поддаются только «родные» ткани зуба, а пломбы цвета не меняют.

Благодарим за консультацию клинику лазерной медицины доктора Колесниченко (, , , …)

01.11.06

Конкурс салонов красоты:
Конкурс специалистов индустрии красоты.
"Здорово и Красиво"

Участники:
- салоны красоты
- фитнес-клубы
- медицинские оздоровительные центры
- СПА-центры и т.д.

Жюри:
Звезды эстрады, кино, театра и телевидения, а также известные деятели индустрии Красоты и Здоровья.

Место проведения:
- салоны красоты
- Концертный зал "Радиус холл"

Организаторами Конкурса является ООО "Компания ВИП" и голландская компания KEUNE.

Итоги конкурса специалистов индустрии красоты "Здорово и Красиво"
Copyright © 2004 Nensi.ru
Крупнейший каталог сайтов на HotINDEX.RU от ADStudio.RU