|
|
Отбеливание зубов ZOOM! – секрет звезд Голливуда
Улыбка тебе ничего не стоит,
но позволяет завоевать весь мир.
Дейл Карнеги
 |
Алекс Вавилюк
Президент
«Дискус Дентал Ист» |
Открытая белоснежная улыбка давно стала символом голливудских звезд, а теперь и успешных людей по всему миру. Но что делать, если ваши зубы не настолько светлые, как вам хотелось, а жизнь диктует необходимость постоянного общения, от которого порой зависит очень многое. Как достичь желаемого цвета, если от природы зубы не очень светлые? Или со временем они утратили первоначальную белизну?
99% американских стоматологов предлагают в этом случае своим пациентам процедуру отбеливания зубов. Самая известная в Америке и в Европе процедура в отбеливании зубов – система «ZOOM!» , дающая мгновенный эффект. Последнее время эта 1-часовая процедура отбеливания зубов становится все более популярной и в России.
В связи с появлением информации о профессиональных системах отбеливания зубов возникают естественные вопросы: "А что будет с моими зубами, не разрушатся ли они потом, может это вредно?". На них отвечает Алекс Вавилюк, представитель одной из самых известных в мире компаний по производству систем отбеливания – «Дискус Дентал», президент компании «Дискус Дентал Ист».
?: Что такое система отбеливания зубов «ZOOM!»?
!: «ZOOM!» – 1 часовая клиническая процедура, которая отбеливает потемневшие зубы.
 |
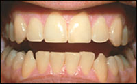
| до отбеливания |
|
 |
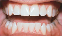
| после отбеливания |
|
?: Почему зубы темнеют?
!: По многим причинам. Самые распространенные – это употребление красящих веществ, таких как кофе, чай, кола, красное вино и т.д. Кроме того, курение, естественное старение, применение тетрациклиновых антибиотиков, а также излишнее количество фтора.
?: Кому можно отбеливать зубы?
!: Почти всем. Ваш стоматолог может определить уровень эффективности после обследования и определения начального оттенка.
?: Безопасно ли отбеливание зубов?
!: Да. За последние 15 лет тщательные и многочисленные исследования и клинические испытания по всему миру доказывают, что отбеливание зубов под наблюдением стоматолога абсолютно безопасно. Более того, стоматологи считают эту процедуру самой безопасной из всех предлагаемых стоматологических косметических процедур. Поскольку не проводились исследования на детях моложе 13 лет, а также на беременных женщинах и кормящих матерях, отбеливание не рекомендовано этим людям.
?: Как долго сохраняются результаты отбеливания зубов?
!: Если следовать простым инструкциям по уходу за зубами после отбеливания системой «ZOOM!», у многих белизна зубов может остаться даже 10 лет спустя. Чтобы сохранять превосходный результат, мы рекомендуем избегать красителей, использовать флосс, дважды в день чистить зубы ультразвуковой зубной щеткой Ultrasonex. При необходимости, возможно поддержать белизну используя домашние системы отбеливания Day White или, Nite White 1-2 раза в году.
?: Существует ли разница между «любительскими» отбеливаю-
щими системами и «ZOOM!™»?
!: Да! «Любительские» системы отбеливания зубов, которые можно купить в аптеках или магазинах без участия врача, значительно менее эффективны и часто только снимают поверхностные пятна, а не отбеливают сам зуб. Клинически доказано, что «ZOOM!» отбеливает зубы на 8–12 оттенков за час или в среднем на 6 оттенков за одни выходные. Только «ZOOM!» может сделать ваши зубы такими белыми и так быстро!
?:Как работает клиническая система отбеливания зубов «ZOOM!™»?
!: Свет «ZOOM!» активирует ингредиент отбеливающего геля – перекись водорода, который выделяет кислород в виде активной молекулы пергидроля. Он проникает в эмаль и дентин зуба, отбеливает их, но не меняет структуру зуба. Исследования показывают, что свет «ZOOM!» увеличивает эффективность геля «ZOOM» на 33% и больше, обеспечивая улучшение цвета на 8 – 12 оттенков.
?: Какова продолжительность процедуры отбеливания зубов
«ZOOM!™»?
!: Вся процедура занимает около часа. Она начинается с подготовки полости рта, затем идет часовое отбеливание зубов. Заканчивается процедура пятиминутной обработкой фтором.
?: Что испытывает пациент во время процедуры отбеливания зубов «ZOOM!™»?
!: Во время процедуры пациент может отдыхать, слушать музыку или просто поспать. Некоторые пациенты могут испытывать временное повышение чувствительности зубов во время процесса отбеливания. Эти симптомы исчезают в течение 1–2 дней после прерывания или окончания процедуры.
?: Как много людей отбеливают свои зубы?
!: Больше, чем вы можете себе представить – их десятки миллионов почти во всех цивилизованных странах мира. Белоснежная улыбка – это наша визитка, которая сопровождает нас всегда и везде. Подсознательно мы воспринимаем людей с белой улыбкой как успешных, внушающих доверие, здоровых и привлекательных. Улыбайтесь чаще!
?: В каждой ли клинике есть Ваша система отбеливания зубов?
!: Мы тщательно отбираем и обучаем специалистов работе с нашей системой, выдавая сертификаты и следим за тем, чтобы система использовалась правильно. А как же иначе? Вот почему не во всех клиниках можно найти процедуру отбеливания зубов «ZOOM!» Тем не менее, практически в каждом городе, и в каждом районе Москвы можно найти сертифицированные клиники, в которые можно смело отправляться за голливудской улыбкой.
|
|
Некоторые ведущие клиники Москвы, врачи которых прошли обучение у производителя и проводят часовую процедуру «ZOOM!»:
«А.ДЕНТ»
Шоссе Энтузиастов
5-я ул. Соколиной горы, д.25, корп.3
тел.: (095) 720-5159, 366-6627
Врачи: Табышкина О.К., Науменко Л.Г.,
Бойко Е.А.
www.adent.ru
|
«КЛИНИКА КЛАССИЧЕСКОЙ И СОВРЕМЕННОЙ СТОМАТОЛОГИИ»
Октябрьская (радиальная), Полянка
1-й Спасоналивковский пер., д. 17, корп.1, стр.1
тел.: (095) 230-1529
Врач: Хохлов А.А.
|
«АЛЕНА»
Белорусская, Проспект Мира
М.Тишинский пер., д.19
тел.: (095) 253-4525
Протопоповский пер., д.9
тел.: (095) 680-6255
Врачи: Десятерик О.Е., Дьячкова И.А., Кукушкина Е.И.
www.firmaalena.ru
|
КЛИНИКА «НА ПОВАРСКОЙ»
Барикадная
ул. Поварская, д.29/31
тел.: (095) 202-3952, 290-2303
Врачи: Халявка В.В., Плиева К.В.
|
«АТРИ-ДЕНТ»
Выхино
ул. Хлобыстова , д. 3 корп.1
тел.: (095) 709-7810
Врачи: Белозерцев А.Ю., Нугуманова А.А.
www.atri-dent.ru
|
«КЭРИ»
Университет
Университетский пр-т , д.9
тел.: (095) 930-3036, 938-0038
Врачи:Слюсарь Н.В., Мушинская Ю.А., Ялбулганов А.А., Шкурченко А.А.
www.keri.ru
|
БУТИК ОТБЕЛИВАНИЯ ЗУБОВ «НА ТВЕРСКОЙ»
Смоленская пл., д.4
тел.: (095) 234-9999, 232-5855
1-й Тверской-Ямской пер., д.16
тел.: (095) 299-8839
Врачи: Сысоева Н.А.,
Строганова О.В., Шульгина Т.В.
www.stomatology.su
|
«ЛАНЦЕТ»
Третьяковска
ул. Б.Ордынка, д.6/2 стр.10
тел.: (095) 953-2204, 951-4155
Врачи: Ланцет Д.Г.,
Ланцет Т.И., Герасимова Н.Н.
|
«ВАЛЛЕКС Ф.М. ЭСТ.»
Калужская
Старокалужское шоссе, дом 62
тел.: (095) 784-7101, 933-7377
Врачи: Герасимова Э.В., Мануйлова Е.О., Пашина И.К., Фомина Е.И., Щипская Л.И.
www.vallex.ru
|
СЕМЕЙНАЯ СТОМАТОЛОГИЯ «МАГИСТР»
Щукинская
ул. Кулакова, д.19
тел.: (095) 756-9060, 756-0086
Врачи: Гиноян Т.М.,Саргсян Ф.В.,
Митоян А.А., Шахкулян С.М.
www.tristom.ru
|
«ВИВа стоматология»
Речной вокзал
ул. Дыбенко , дом 2
тел.: (095) 451-2449
Врачи: Наумова В.В., Семененко М.А., Логачев С.В., Вдовенко В.В.,
Посиделов В.В.
www.vivast.ru
|
СЕМЕЙНАЯ СТОМАТОЛОГИЯ «МАГИСТР»
Щукинская
ул. Кулакова, д.19
тел.: (095) 756-9060, 756-0086
Врачи: Гиноян Т.М.,Саргсян Ф.В.,
Митоян А.А., Шахкулян С.М.
www.tristom.ru
|
«ДАНИЭЛЬ»
Бабушкинская
ул. Менжинского, д.29
тел.: (095) 470-3094, 470-2713
Врачи: Дахкильгов М.У., Ситенкова Т.Б.
www.skdaniel.ru
|
СТОМАТОЛОГИЯ В «МОСКОВСКОМ»
Комсомольская
Комсомольская пл., д.6/1
тел.: (095)780-7953, 507-6866
Врачи: Сергеева Л.А., Фатеев А.П., Жаровская А.Ю.
|
«ДЕНТА-КЛИНИК»
Октябрьская (кольцевая)
Ленинский проспект, д. 8, корп.11
тел.: (095) 237-4743, 954-7428
Врачи: Полякова С.В., Расстригина О.С., Усова Е.В., Патрикеева О.Ю.
www.denta-clinic.ru
|
СТОМАТОЛОГИЯ НА НОВОЧЕРЕМУШКИНСКОЙ
Новые Черемушки, Профсоюзная
ул. Новочеремушкинская, д.57
тел.: (095)331-0240, 332-6664
Врач: Грозова Н.Д.
|
«ДОКТОР-МАРТИН»
Новые Черемушки
ул. Архитектора Власова, д. 22
тел.: (095) 504-4301, 504-4302
Врачи: Кузнецова М.Ю., Казарян Г.Г.
|
«ЭКО ДЕНТ»
Ясенево
ул. Голубинская, д.24 корп. 1
тел.: (095) 421-8977
Врачи: Заслонкин Э.В., Профатилова О.В.
www.ekodent.ru
|
«ЕВРОПЕЙСКИЙ СТОМАТОЛОГИЧЕСКИЙ ЦЕНТР»
Смоленская
1-й Николощеповский пер., д. 6, стр.1
тел.: (095) 933-0002
Врачи: Вагаева Е.С.
www.emcmos.ru
|
«ЭТНА-ДЕНТ»
Таганская
Б.Каменьщики, д.6
тел.: (095) 632-7035, 912-3746
Врачи: Гирич Ю.А., Кочканян М.Р.,
Шорин О.С., Мосина А.Н.,
Кудинов Ю.А.
www.etnadent.ru
|
|
|
Посольство Медицины
15.10.05
|
|
 |
|